Arun Kumar

General Dentist & Orthodontist

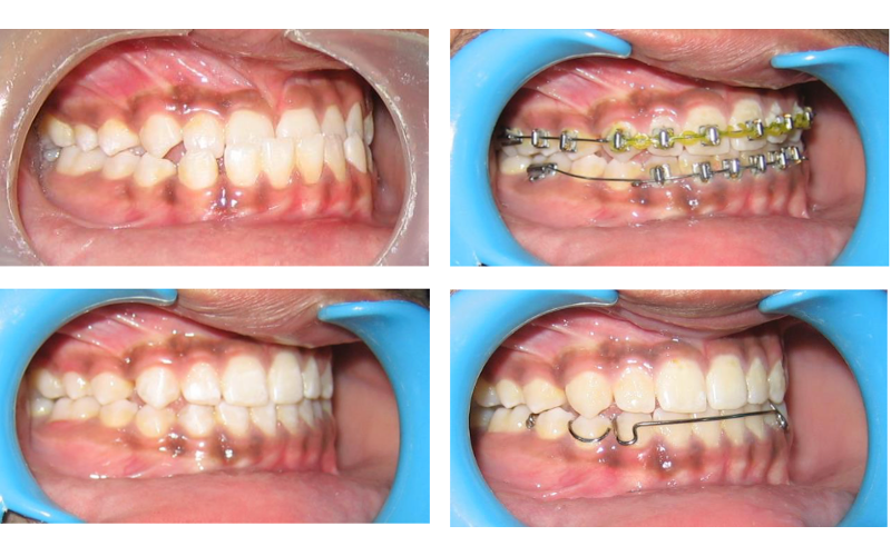
Class III

Class III image 1
Class III image 2
Class III image 3
Class III image 4
Class III image 5
Class III image 6
Class III image 7