Arun Kumar

General Dentist & Orthodontist

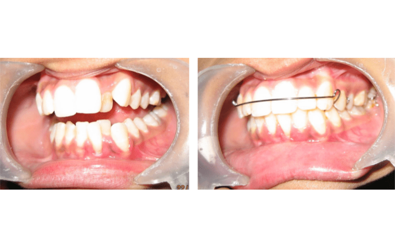
Anterior Crossbite

Anterior Crossbite image 1
Anterior Crossbite image 2