Arun Kumar

General Dentist & Orthodontist

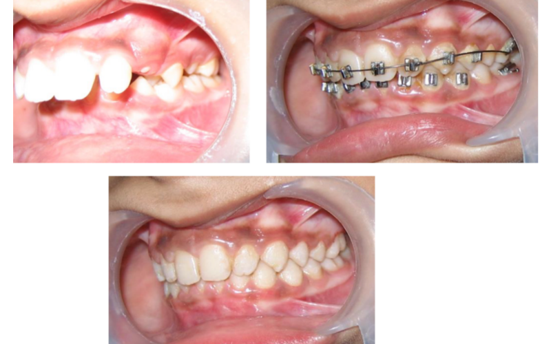
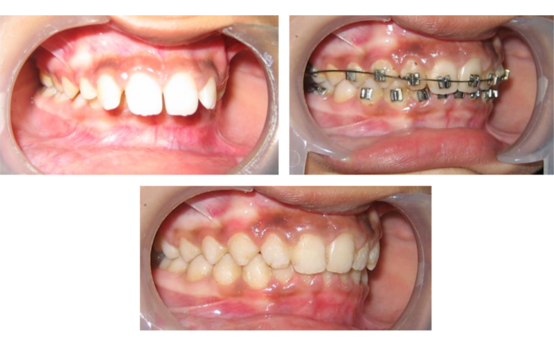
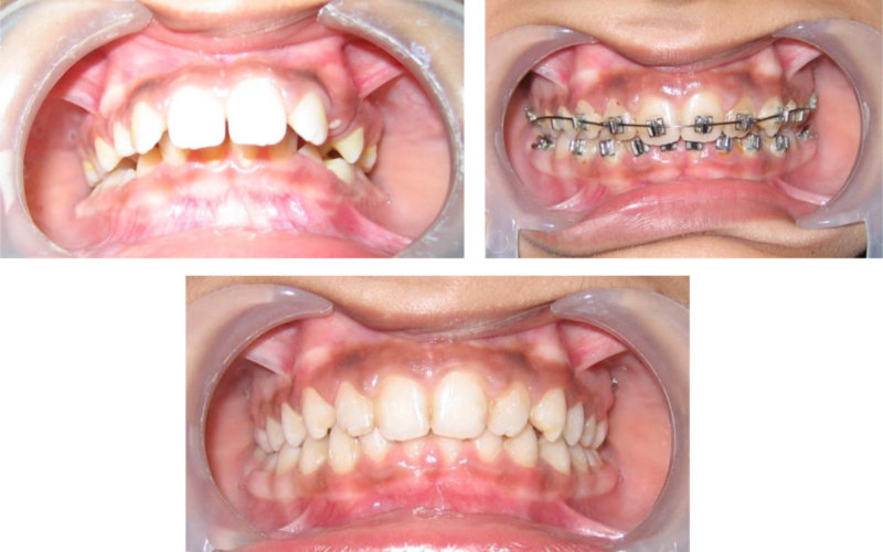
Class II Div 1

Class II Div 1 image 1
Class II Div 1 image 2
Class II Div 1 image 3
Class II Div 1 image 4
Class II Div 1 image 5
Class II Div 1 image 6
Class II Div 1 image 7