Arun Kumar

General Dentist & Orthodontist

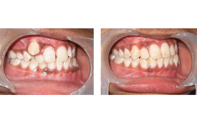
Ectopic Eruption

Ectopic Eruption image 1
Ectopic Eruption image 2
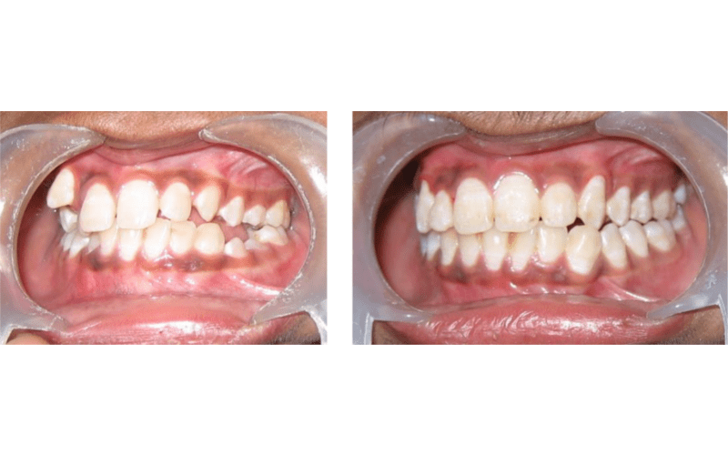
Ectopic Eruption image 3
Ectopic Eruption image 4
Ectopic Eruption image 5
Ectopic Eruption image 6
Ectopic Eruption image 7