Arun Kumar

General Dentist & Orthodontist

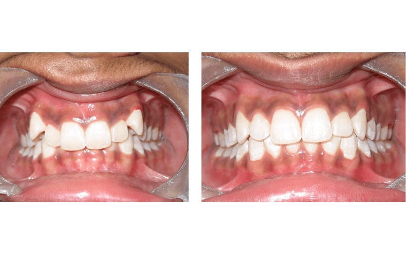
Class II Div 2

Class II Div 2 image 1
Class II Div 2 image 2
Class II Div 2 image 3
Class II Div 2 image 4
Class II Div 2 image 5
Class II Div 2 image 6