Arun Kumar

General Dentist & Orthodontist

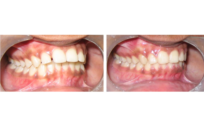
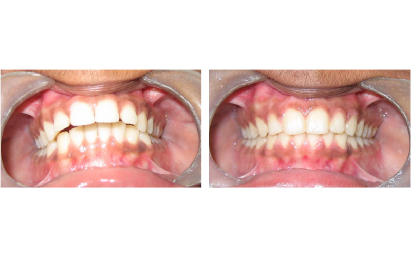
Class I Type 2

Class I Type 2 image 1
Class I Type 2 image 2
Class I Type 2 image 3
Class I Type 2 image 4
Class I Type 2 image 5