Arun Kumar

General Dentist & Orthodontist

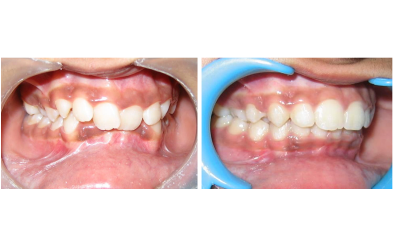
Anterior Deepbite

Anterior Deepbite image 1
Anterior Deepbite image 2
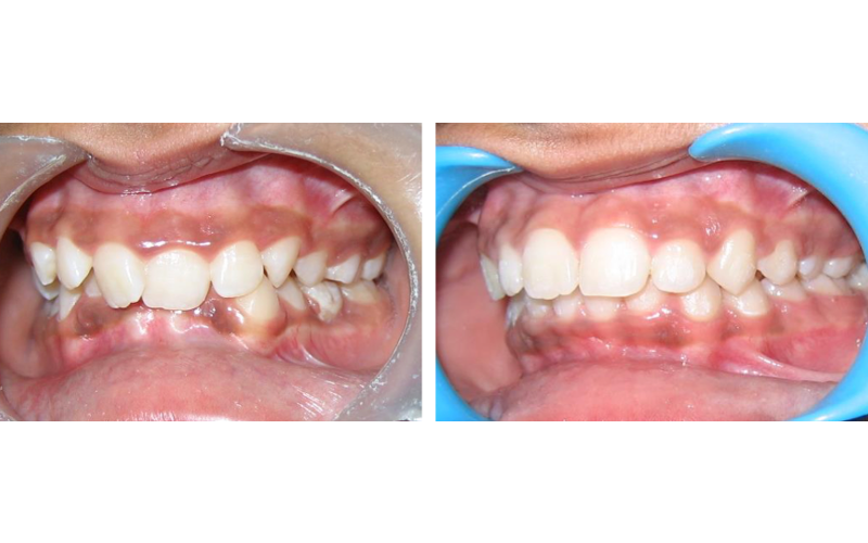
Anterior Deepbite image 3
Anterior Deepbite image 4
Anterior Deepbite image 5
Anterior Deepbite image 6
Anterior Deepbite image 7