Arun Kumar

General Dentist & Orthodontist

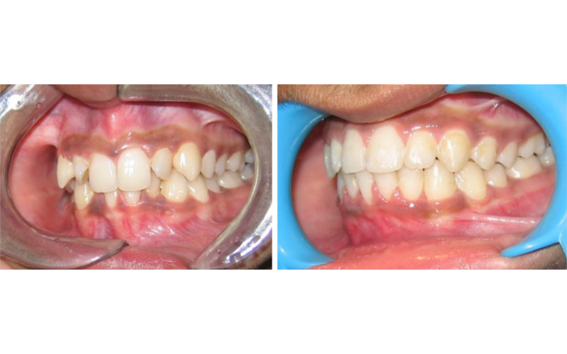
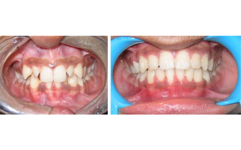
Anterior Deepbite

Anterior Deepbite image 1
Anterior Deepbite image 2
Anterior Deepbite image 3
Anterior Deepbite image 4
Anterior Deepbite image 5