Arun Kumar

General Dentist & Orthodontist

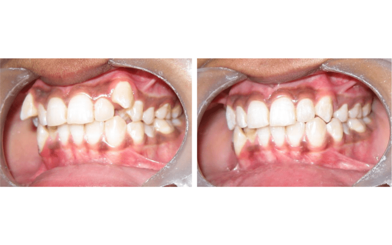
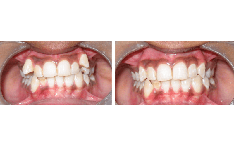
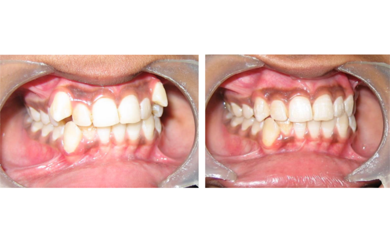
Class I Type 1

Class I Type 1 image 1
Class I Type 1 image 2
Class I Type 1 image 3
Class I Type 1 image 4