Arun Kumar

General Dentist & Orthodontist

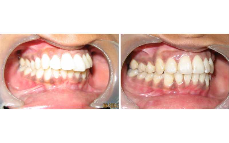
Class II Div 1 Subdivision

Class II Div 1 Subdivision image 1
Class II Div 1 Subdivision image 2
Class II Div 1 Subdivision image 3
Class II Div 1 Subdivision image 4
Class II Div 1 Subdivision image 5
Class II Div 1 Subdivision image 6